Сильная девушка до, во время и после операции на позвоночнике

Страницы: 1 ...  4 5  ОТВЕТИТЬ НОВАЯ ТЕМА
Tevtat85 3 мар 2016 в 16:31
Приколист  •  На сайте 11 лет
0
Ну не знаю, у нее практически и не видно сзади, у моей жены намного хуже искривление, уже второго пацана родила, хотя говорили что только кесерово. Операции оч дорогие, боится. Реабилитация долгая.
4epenaxa 3 мар 2016 в 16:48
Шутник  •  На сайте 14 лет
4
Моя история, много.
Долго (лет 20) мучился с болями в спине, прострелами... Думал радикулит, мазался всякими мазями, типа финалгона. Таскал тяжести, в одну харю строил деревянные дома...

Однажды, за пару дней до НГ2009 появилась "нитяная" боль в ягодице. Боль терпимая, скорее - неприятная, но ближе к НГ боль постепенно стала распространяться в правую ногу. В саму НГ-ночь ездил по гостям на авто, под утро вернулся домой, лёг спать, а спустя несколько часов, проснулся от дикой боли по всей правой ноге.

Условно терпимая боль была только если лежишь в одном, не очень удобном положении с подушкой под коленом. Речи о том, что бы не то что встать, но и просто сесть, не было: от боли орал так, что соседи стучали в стену.
Весь день первого января терпел, но к вечеру пришлось вызвать скорую. Вы когда нибудь ползали на спине? Мне пришлось ползти больше пол-часа к входной двери, что б открыть замок заранее, до приезда скорой.

Скорая приехала, бригада обрадовалась, что попали на вызов не в пьяный бомжатник (как ни как - 1 января). Сделали обезболивающий укол, диагноз не установили и умчали... Лечь в больницу даже не предложили.

Прокантававшись сутки, на следующий вечер пришлось опять вызывать скорую. Приехала другая бригада, врач которой предположил, что скорее всего грыжа и надо делать МРТ. Обезболили, сказали чем надо колоться и уехали. На следующий день друзья отвезли на МРТ, где подтвердился диагноз: грыжа 10х25мм в поясничном отделе L4-L5.

Позвонил своему генеральному (у него тоже были проблемы со спиной), он сказал: "не сцы, прорвёмся, но терпи до окончания праздников, я обо всём договорюсь", т.к. его знакомые нейрохирурги, как и весь честнОй народ празднует праздники.

Друзья закупились диклофинаком, кетановом, шприцами и спиртом. Ставить уколы в чужие задницы я умел, теперь пришлось изворачиваться и "метать дротики" в свою. Не лёгкое это занятие, если учесть, что любое движение сопровождается сильнейшей болью. В общем, 10 дней я продержался и попал на операционный стол в одну ГКБ, где отделение нейрохирургии специализируется на травмах позвоночника.

Грыжу удалили, вставили имплант DIAM, на следующий день я уже ходил, а через неделю выписали домой с напутствием: 2 месяца не садиться, тяжелее кружки пива не поднимать и через 3 месяца к ним на реабилитацию.

Несколько лет всё было хорошо, никаких проблем со спиной я не испытывал... опять стал таскать тяжести, женился, раздобрел на жёнкиных харчах
и снова появились проблемы: сводит и ломит спину, частые случайные прострелы при которых ноги отказывают (просто подкашиваются) и если незачто схватиться руками или не успеваю упереться руками в колени, то могу упасть как подкошенный.

В метро вынужден ездить только сидя из-за чего приходится проезжать пару остановок до конечной что бы занять место и чувствую себя очень не уютно, когда рядом стоит дама или пожилой человек, а я не физически не могу уступить место.

Я не хотел делать МРТ: меньше знаешь - крепче спишь, но пол-года назад жена заставила сделать. В итоге, на данный момент имеем 3 грыжи различных размеров, в том числе и там, где её ранее удалили. К Врачам претензий нет, свою работу они сделали ювелирно и высококлассно, как говорили другие нейрохирурги, которые видели МРТ после операции.
По хорошему, сейчас надо опять ложиться на операцию, но ни семейные обстоятельства не позволяют, ни по работе не складывается... Вобщем буду тянуть до последнего, когда отступать будет некуда :)

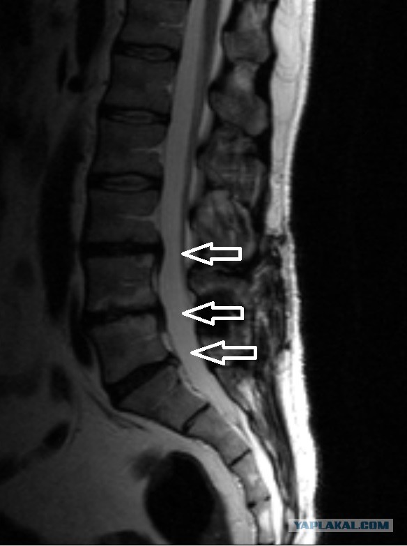
Тёмное пятно под средней стрелкой - это имплант.

Сильная девушка до, во время и после операции на позвоночнике

Это сообщение отредактировал 4epenaxa - 3 мар 2016 в 16:55
Temuchin69 3 мар 2016 в 17:33
Балагур  •  На сайте 10 лет
0
Дай бог девчонке здоровья и счастья. Мне летом, похоже, тоже на операцию по позвоночной грыже ложиться, сожет тоже пост запилю
symrak009 3 мар 2016 в 17:58
Ярила  •  На сайте 16 лет
1
Цитата (4epenaxa @ 3.03.2016 - 16:48)
По хорошему, сейчас надо опять ложиться на операцию, но ни семейные обстоятельства не позволяют, ни по работе не складывается... Вобщем буду тянуть до последнего, когда отступать будет некуда :)

Тёмное пятно под средней стрелкой - это имплант.


дурило, с позвоночником играть нельзя! dont.gif
ждешь когда тебя совсем парализует?
твоим детям нужен отец, который будет под себя ходить и себе даже стакан ко рту не поднести?

Срочно к врачу!
Alien12 3 мар 2016 в 18:37
SteelRats  •  На сайте 14 лет
1
Всем "разбейлоб" идиотам на заметку. Одни руки хирурга, делают больше чем миллион молящихся !
Tulaserg 3 мар 2016 в 19:56
Ярила  •  На сайте 12 лет
0
Вот что значит сильная женщина,а не эти - в 40 с котами))
vladdre83 3 мар 2016 в 20:23
Приколист  •  На сайте 11 лет
1
Хм... молодец конечно,но я смотрю судя по фотке на лошади, ей все неймётся blink.gif

Это сообщение отредактировал vladdre83 - 3 мар 2016 в 20:24
ПальцемВглаз 3 мар 2016 в 21:00
Ярила  •  На сайте 14 лет
0
запеченый батон с фаршем напомнило.
ChillHouse 3 мар 2016 в 22:08
Шутник  •  На сайте 11 лет
0
Нихуя себе.
недомедик 3 мар 2016 в 22:51
Ярила  •  На сайте 15 лет
1
Все восторгаются девушкой....в рачи так себе...просто делали свою работу....
JurikKZ 3 мар 2016 в 23:06
Приколист  •  На сайте 14 лет
0
Брекеты на позвонках. ((
kirandia18 3 мар 2016 в 23:14
Шутник  •  На сайте 11 лет
0
http://www.yaplakal.com/forum7/topic1304996.html?hl= Вот тема про дочку подруги со схожей операцией. С таким металлом в дальнейшем может тоже возникнуть куча проблем.
KotEscobar 4 мар 2016 в 01:41
Приколист  •  На сайте 10 лет
0
Цитата (dortmund @ 3.03.2016 - 08:46)
Это за границей процесс происходил, я так понимаю?

Вы отстали от жизни - в России давно и сложнее операции успешно делают. Просто, барыги зарабатывающие на посредничестве больше зарабатывают отправляя за границу, вот и видите вы массовый пиар заграничных клиник.
А так, то знаю не мало случаев когда и в лучших клиниках Изгаиля людей делали инвалидами, когда врачи наших НИИ говорили, что решили бы проблему, обратись к ним сразу, а не потеряй время в других клиниках.
Scorbec 4 мар 2016 в 02:44
Ярила  •  На сайте 11 лет
0
Цитата (symrak009 @ 3.03.2016 - 17:58)
Цитата (4epenaxa @ 3.03.2016 - 16:48)
По хорошему, сейчас надо опять ложиться на операцию, но ни семейные обстоятельства не позволяют, ни по работе не складывается... Вобщем буду тянуть до последнего, когда отступать будет некуда :)

Тёмное пятно под средней стрелкой - это имплант.


дурило, с позвоночником играть нельзя! dont.gif
ждешь когда тебя совсем парализует?
твоим детям нужен отец, который будет под себя ходить и себе даже стакан ко рту не поднести?

Срочно к врачу!

К врачу конечно стоит, но судя по снимку, грыжи в поясничном отделе, там спинного мозга нет и врядли вот так сразу парализует. Если бы грыжа была в верхних отделах позвоночника и сдавливался непосредственно спинной мозг то это да, очень серьезно. Но осложнения и сопутствующие возникающие проблемы могут очень портить жизнь.
Hedgehog24 4 мар 2016 в 02:49
Ярила  •  На сайте 13 лет
-1
Не нужно было физкультуру прогуливать! dont.gif
GNEV 4 мар 2016 в 04:42
праведный  •  На сайте 14 лет
0
да причем тут физкультура? faceoff.gif есть:
- нарушение осанки (тут она поможет)
- сколиоз (не вылечит однозначно)
одно дело, когда сутулится человек (нарушение в сагитальной плоскости), другое дело, когда идет комбинированное +ротация позвонков вокруг своей продольной оси (сколиоз). как правило - это дефект развития самих позвонков и связочного аппарата

Это сообщение отредактировал GNEV - 4 мар 2016 в 04:44
vlad107 4 мар 2016 в 05:26
Ярила  •  На сайте 11 лет
0
вот нахуя такое показывать....
4epenaxa 4 мар 2016 в 11:43
Шутник  •  На сайте 14 лет
0
Цитата (Scorbec @ 4.03.2016 - 02:44)
Цитата (symrak009 @ 3.03.2016 - 17:58)
Цитата (4epenaxa @ 3.03.2016 - 16:48)
По хорошему, сейчас надо опять ложиться на операцию, но ни семейные обстоятельства не позволяют, ни по работе не складывается... Вобщем буду тянуть до последнего, когда отступать будет некуда :)

Тёмное пятно под средней стрелкой - это имплант.


дурило, с позвоночником играть нельзя! dont.gif
ждешь когда тебя совсем парализует?
твоим детям нужен отец, который будет под себя ходить и себе даже стакан ко рту не поднести?

Срочно к врачу!

К врачу конечно стоит, но судя по снимку, грыжи в поясничном отделе, там спинного мозга нет и врядли вот так сразу парализует. Если бы грыжа была в верхних отделах позвоночника и сдавливался непосредственно спинной мозг то это да, очень серьезно. Но осложнения и сопутствующие возникающие проблемы могут очень портить жизнь.


Спинной мозг идёт от головного и до самого копчика, где заканчивается, так называемым, "конским хвостом".

На снимке МРТ сделал пояснения что где. Спинной мозг выглядит светлой лентой, идущей справа от позвонков.

На самом деле межпозвоночный диск не совсем диск.
Два соседних позвонка скреплены между собой хрящевым кольцом, которое обеспечивает подвижность позвонков, но при этом, не позволяет позвонкам смещаться друг относительно друга
Внутренняя полость, ограниченная верхним и нижним позвонками и хрящевым кольцом заполнена веществом, которое выполняет функции амортизатора. По своей структуре оно похоже на что то среднее, между холодцом и мягким хрящом. Это и есть межпозвоночный диск.

При повышенных нагрузках, хрящевое кольцо диска раздавливается между верхним и нижним позвонками и образуется не большое выпячивание - протрузия диска. Механизм примерно такой, как взять шарик пластилина и начать его сжимать между указательным и большим пальцами. При сильном сдавливании, часть пластилина выдавится за пределы пальцев - это и есть протрузия. Это ещё пол-беды.

Дальше, если нагрузки велики, хрящевое кольцо трескается, лопается и через разрыв, как зубная паста из тюбика, выдавливается тело диска. При этом сдавливается спинной мозг, нарушается его кровоснабжение, ощущаются онемение, прострелы и прочие "радости".

"Вправить грыжу" НЕВОЗМОЖНО в принципе! Те, кто это обещают - ШАРЛАТАНЫ! Попробуйте втянуть выдавившуюся пасту из тюбика обратно. Получится? Хренушки! Позвоночник и грыжа, это не нос с соплёй, когда можно просто шмыгнуть носом и сопля залетает обратно. И то не надолго, т.к. как залетела, так, чуть позже опять поползёт.

Операция, если грубо, состоит в том, что делают разрез вдоль позвоночника на нужном уровне, удаляют грыжу, подравнивают треснувшее хрящевое кольцо, вычищают всю полость, где находился диск, освобождают зажатые нервные пучки. При необходимости ставят имплант.


Вот как то так, если коротенько...
Будте здоровы, живите богато.

Сильная девушка до, во время и после операции на позвоночнике

Это сообщение отредактировал 4epenaxa - 4 мар 2016 в 11:44
kot666ss 10 мар 2016 в 01:10
Ярила  •  На сайте 13 лет
1
Не очень мы внутри выглядим.
stasman52 24 янв 2018 в 21:45
Ярила  •  На сайте 10 лет
0
Цитата (skyrex @ 3.03.2016 - 09:40)
а для чего сей прибор?

Вилка загнутая, такой не пожрешь. Работает как расширитель раны.
Понравился пост? Ещё больше интересного в ЯП-Телеграм и ЯП-Max!
Только зарегистрированные и авторизованные пользователи могут оставлять комментарии. Авторизуйтесь, пожалуйста, или зарегистрируйтесь, если не зарегистрированы.
1 Пользователей читают эту тему (1 Гостей и 0 Скрытых Пользователей) Просмотры темы: 76 972
0 Пользователей:
Страницы: 1 ...  4 5  ОТВЕТИТЬ НОВАЯ ТЕМА

 
 

Активные темы



Наверх